Discussing: The Cost of Dental Implants
Sumner Dental Group pricing is the best in the area while also providing the best final result.
We are able to achieve this by having a highly trained dentist who performs the entire procedure from start to finish along with a highly trained in-house dental lab technician. They have performed this procedure from start to finish together more times than they can count.
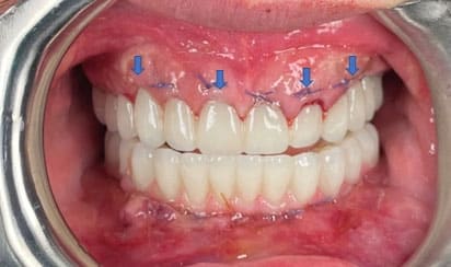
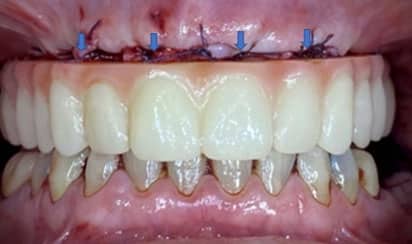
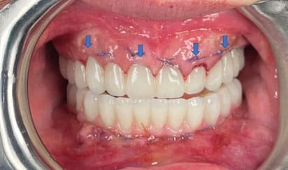
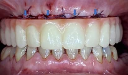
For your final teeth, you, the dentist, and our in-house lab technician will work together to design your perfect smile. While other offices still use acrylic denture teeth over titanium bars, we use zirconia for the best in appearance, durability, and resistance to staining. Upgrading to these materials usually costs significantly more at other offices. At Sumner Dental Group, they’re our standard.

Have You Seen Us On TV?
We ARE World-Class Dental Experts—AND We Play Them on TV!
Why Choose Us?
Unparallel Experience
We Do This Almost EVERYDAY In Our Office.
Click HERE to see our weekly patient story
Minimally Invasive
Our EXPERIENCE and METHOD give our patients faster RECOVERY time.
Custom-Made
We custom made all the teeth for each Patient.
No RETRO-FITTING is needed.
Click HERE to see the differenece.
Difficult Cases
We treat patients when other providers cannot manage. CLICK HERE

Single Arch Permanent Teeth
$14,999 Or
Starting as low as: $350/mo
Double Arch
$28,999 Or
Starting as low as: $700/mo

2 Implant
$5,999 Or
Starting as low as: $135/mo
4 Implant
$8,999 Or
Starting as low as: $160/mo
4 Implant
$16,998 Or
Starting as low as: $350/mo

Single Tooth Implant
$3,150 Or
Starting as low as: $110/mo
Implant Bridge
$7,000 Or
Starting as low as: $135/mo
Available Financing & Payment Options

What We Offer?
Custom-Made (OUR)
Match to Existing Natural Gum Tissue
Minimal Invasive Surgery
Retrofitting (Others)
Counter-Top Teeth
Bulky Teeth
Severe Bone Loss
Find Out If You're A
Candidate For Dental Implants



























